최종편집:2025-11-26 07:49 (수)
실시간
딥노이드, 메디컬 재팬서 딥뉴로 등 진단 보조 솔루션 전시

딥노이드, 메디컬 재팬서 딥뉴로 등 진단 보조 솔루션 전시

  • 기자명 유덕규 기자
  • 입력 2025.02.25 16:47
  • 0
  • 본문 글씨 키우기
이 기사를 공유합니다
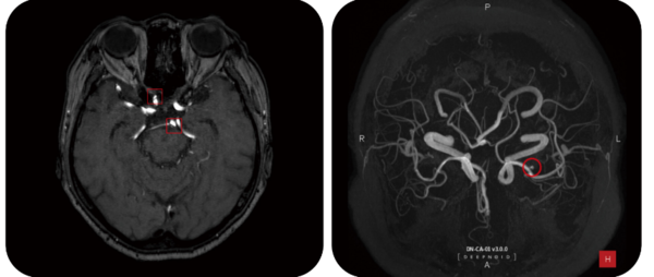
딥노이드의 딥뉴로(DEEP:NEURO) 판독화면 /딥노이드.
딥노이드의 딥뉴로(DEEP:NEURO) 판독화면 /딥노이드.

딥노이드는 다음달 5일부터 3일간 개최되는 일본 의료 산업 전시회 ‘메디컬 재팬 오사카 2025 (Medical Japan OSAKA2025)’에 참여해 진단 보조 솔루션 등 현지 의료 시장에 최적화된 솔루션을 전시한다고 25일 밝혔다.

메디컬 재팬은 일본 최대 규모의 의료·병원·제약 산업 전시회로 매년 오사카와 도쿄에서 개최된다. 

딥노이드는 다양한 의료 전문가와 산업 관계자가 참석하는 이 행사에서 ‘딥뉴로(DEEP:NEURO)’와 ‘M4CXR’ 모델을 중점적으로 알릴 예정이다.

최현석 딥노이드 최고의료책임자(CMO)는 “일본은 고령화 사회로 인해 의료 AI 및 디지털 헬스케어 분야에서 혁신적인 솔루션에 대한 수요가 빠르게 증가하고 있는 시장”이라며 “메디컬 재팬 오사카 참가를 통해 현지 의료 기관 및 기업과의 전략적 제휴와 긴밀한 협력을 통해 기술의 현지화 및 서비스 개선에 주력하겠다”고 말했다.

저작권자 © THE AI 무단전재 및 재배포 금지
관련기사
개의 댓글
0 / 400
댓글 정렬
BEST댓글
BEST 댓글 답글과 추천수를 합산하여 자동으로 노출됩니다.
댓글삭제
삭제한 댓글은 다시 복구할 수 없습니다.
그래도 삭제하시겠습니까?
댓글수정
댓글 수정은 작성 후 1분내에만 가능합니다.
/ 400
내 댓글 모음
모바일버전